Tag: noTitle
-
Bridging the Gap
Influential faculty and a new center put Northwestern on the leading edge of dissemination and implementation science.
-
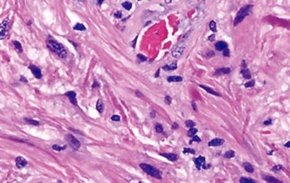
Portrait of a Tumor
A new DNA methylation profiling tool that ensures brain tumors are accurately diagnosed is available at Northwestern Medicine.
-
Focus on Impact
As vice dean for faculty affairs, Farzaneh Sorond, MD, PhD, brings a uniquely winding career path and passion for taking care of others.
-
Teen Health Advocate
During the course of her career, Laura Offutt, ’94 MD, has worked in academia, clinical research, drug development, and medical consulting.
-
Alumni President’s Message: Let’s Make Happiness Go Viral
Let’s Make Happiness Go Vital by Edward S. Kim, ’92 BS, ’96 MD (HPME), Medical Alumni Association (MAAB) president.
-
New Immune Culprit Discovered in Alzheimer’s Disease
Immune cells in brain and spinal fluid become dysregulated and ‘a little angry’ as we age.
-
Giving
Ripecky Family Scholarship to Support Students Pursuing Psychiatry, Primary Care, and Beyond.
-
Study Uncovers Potential Therapeutic Approach for Advanced Prostate Cancer
Elevated PALI1 in advanced prostate tumors mediates crosstalk between two primary epigenetic silencing mechanisms, suggesting that dual epigenetic inhibition may be an effective therapeutic strategy.
-
Progress Notes
Sharing news, accomplishments, and important milestones from the alumni of the Feinberg School of Medicine.
-
Novel Mechanisms Regulate Inflammatory Skin Diseases
A newly identified role for an intracellular trafficking pathway in regulating epidermal developmental processes could serve as a future therapeutic target for inflammatory skin diseases.










